心臓ドックについて
「心臓ドック」は、心臓病(狭心症や心筋梗塞などの虚血性心疾患)の発生を未然に防ぐこと、また早期に治療することで重症化を防ぐことを目的としている検査コースです。日本職業・災害医学会が2014年に報告した研究によると、突然死の原因の7割は心筋梗塞を含む心臓病でした。心臓病は一般的には50代以上で急増する病気ですが、最近では30~40代の若い世代でも心筋梗塞で亡くなる方が増えてきており問題視されています。(図1)当院では、心臓病に特化した高度な検査装置や専門スタッフが備わっているため、症状が現れていない心臓病を早期に発見することが可能であり、将来の心臓病にかかるリスクを正確に評価することが可能です。また、追加オプションにて日本循環器学会認定循環器専門医が結果の説明を行い、精査が必要な場合は速やかにフォローアップ致します。

図1 年齢層別の狭心症総患者数
虚血性心疾患(心筋梗塞、狭心症)について
「狭心症」や「心筋梗塞」といった虚血性心疾患は、動脈硬化が悪化すると、酸素やエネルギーを心臓に送る冠動脈という血管が狭くなり引き起こされます。これは高血圧・糖尿病・脂質異常症・肥満などの生活習慣病などが原因で、心臓を養う冠動脈に動脈硬化が進むことで発症します。
動脈硬化が進行すると脂質や石灰などからなるかたまりである「プラーク」が形成されます。プラークの成長に伴い血管の内腔は徐々に狭まり、労作性狭心症を生じるようになります。心筋梗塞はこのプラークが脆弱化し破裂することで、冠動脈内に血栓が形成され詰まってしまうために発症します。(図2)

図2 狭心症、心筋梗塞のしくみ
不整脈について
不整脈を早期発見することで脳卒中や突然死を未然に防ぎ、早期に治療することを目的としたコースです。
日本では毎日多くの人が心臓突然死で命を失っています。厚生労働省の統計では心臓が原因で突然心停止となる人は、1年間で約7.9万人。一日に約200人、7分に1人が心臓突然死で亡くなっています。(図3)その原因の多くは「心室細動」と呼ばれる重篤な不整脈です。心室細動になると心臓は震えるのみで血液を送り出せなくなります。いわゆる心停止の状態です。また、心房細動といった脳卒中のリスクが約5倍に増加するといわれる不整脈もあります。(図4)

図3 年齢層別の心原性心肺停止件数
図4 心房細動の脳卒中リスク
心臓ドックこんな方へおすすめ
心不全の原因として最も多いのが狭心症や心筋梗塞などの虚血性心疾患です。以下の項目にも複数当てはまる場合は虚血性心疾患の発症リスクが高い傾向があります。
- 高血圧、糖尿病、脂質異常症(高コレステロール症)などの生活習慣病がある方
- 喫煙者
- 血縁者が心臓疾患で亡くなっている方
- ストレスが多い方
- 50代以上の方で心臓の検査を一度も受けたことがない方
こんな病気がわかります
| 不整脈 | 心筋梗塞 | 狭心症 | 弁膜症 | 心不全 | 大動脈瘤 | 心筋症 | |
|---|---|---|---|---|---|---|---|
| 冠動脈単純CT | - | ○ | ○ | ○ | - | ○ | - |
| 冠動脈造影CT | - | ◎ | ◎ | ○ | - | ◎ | - |
| 心電図 | ◎ | ○ | ○ | - | - | - | ○ |
| 血液検査 | - | ○ | ○ | ○ | ○ | - | ○ |
| 心臓超音波検査 | - | ○ | - | ◎ | ◎ | - | ◎ |
心臓ドックコース
| ベーシックコース | 料金(税込) |
|---|---|
| (1)冠動脈単純CT検査(胸部評価、石灰化スコア) (2)心電図検査 (3)血液検査 (4)BNP検査 |
¥15,000 |
| スタンダードコース | 料金(税込) |
|---|---|
| (1)冠動脈造影CT検査(胸部評価、石灰化スコア、冠動脈評価) (2)心臓超音波検査 (3)心電図検査 (4)血液検査 (5)BNP検査 |
¥35,000 |
| 各オプション | 料金(税込) |
|---|---|
| 不整脈 | |
| (1)ホルター心電図 | ¥10,000 |
| (2)イベントレコーダー | ¥10,000 |
| その他 | |
| (1)循環器専門医による診察 | ¥3,500 |
| (2)栄養指導 | ¥2,500 |
| (3)頚動脈超音波検査 | ¥3,500 |
| (4)ABI/PWV | ¥1,000 |
| (5)胸部レントゲン | ¥1,000 |
| (6)腹部CT検査(腹部周囲脂肪評価) | ¥8,000 |
| (7)身体測定 | ¥1,000 |
| 人間ドック | |
| (1)腸内フローラ検査 | ¥19,800 |
| (2)3大疾病リスク検査 | |
| AIRS(ガン、脳心疾患、糖尿病、認知症リスク検査) | ¥28,600 |
| AICS(ガンリスク検査) | ¥28,600 |
検査の流れ
受付、ご精算
更衣室にお着替え頂きます
各種検査実施
検査終了
検査結果を郵送にてお届けいたします
検査の特徴
生理機能検査
心電図
心電図検査は簡便な検査ですが、とても多くの情報が得られる検査です。そのときの心臓の状態を推測することができます。不整脈の検出や心筋虚血の有無を明らかにするために行います。
ホルター心電図
2方向(種類)の心電図を、24時間記録する心電図検査です。
24時間の心電図を記録することで日常生活活動における身体的・精神的刺激による、不整脈の検出や心筋虚血の有無を明らかにするために行います。通常の心電図検査より詳しく評価します。
イベントレコーダー
胸痛、動悸などの症状が、心臓由来の不整脈かどうか調べるための長時間心電図モニター計です。1週間のモニタリングを行い、症状の有無に関わらず不整脈があった際に心電図が記録されますので、不整脈や狭心症の診断に有力な検査となります。
ABI/PWV
両腕・両足首の血圧と脈波を5分程度測定。動脈硬化の早期発見に役立ちます。
画像検査
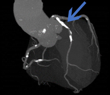
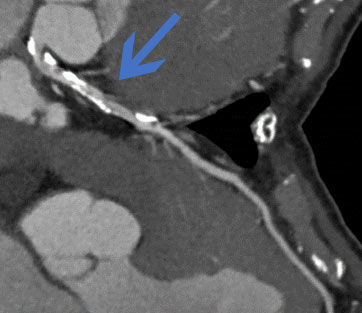
冠動脈CT検査
突然死の原因の1つである心筋梗塞のリスクとなる病変の早期発見に有効です。
頚動脈超音波検査
心臓病、脳梗塞など動脈硬化由来で引き起こされる病気の早期発見に役立ちます。
心臓超音波検査
心臓が動いている様子を映し出し、壁の動きや弁の開閉の状態を調べます
血液検査
採血から血液を詳しく調べ、心臓病のリスクや生活習慣病の予防に役立てることもできます。
その他
循環器専門医による診察
心臓疾患のスペシャリストである医師が検査結果を踏まえ丁寧に診察します。診察方式は対面式あるいはオンライン式でご案内が可能です。
栄養指導
管理栄養士による栄養指導。食事面から病気に対してアプローチし、献立、調理をどうすればいいのかなどを提案、健康の維持増進を図っていきます。
腸内フローラ
腸内フローラとは、腸内に生息する常在細菌の集合体で、私たちの腸内には100兆個以上の細菌が住み着いています。近年、「腸内フローラ」が私たちの健康に密接に関係している事が研究で解明されており、 腸内フローラの乱れにより様々な病気にかかる危険が高まることも分かってまいりました。
(腸炎、大腸がん、乳がん、肥満、アレルギー、動脈硬化、糖尿病、自閉症など)
検査結果により、個人の各疾患別リスク判定や腸内細菌の組成などがわかります。腸内フローラのバランスを整え、良い腸内環境を保つことで、病気予防・健康長寿に繋がります。
アミノインデックス
疾患に罹患している可能性や将来罹患する可能性を評価することでリスクを知り、予防に繋げることを目的とした検査です。
血液中のアミノ酸濃度バランスから、さまざまな疾病リスクを1回の採血で評価します。その結果に基づき生活習慣に起因する疾病の発見や予防の機会創出をサポートし、健康寿命の延伸に貢献します。
心臓ドック受診について
実施日時
月~土曜日 10:00~16:00
予約方法
電話予約
※完全予約制
受診までの準備
- 冠動脈造影CT検査において糖尿病薬を服用されている方は、当日は服用せず、検査前後も48時間は服用なさらないようお願いします。
- 検査3時間前までの食事はとらないようにお願いします。
持参していただくもの
- 診察券(当院のお持ちの場合)
- 保険証/医療証
会計方法
現金、もしくはクレジットカード


